Maak een afspraak voor uw hond
Heupluxatie
Heupluxatie oftewel een heup uit de kom bij de hond en kat komt nog regelmatig voor. Meestal wordt het veroorzaakt door een ongeluk. Bij jonge dieren lijkt het vaker voor te komen, de botten zijn nog meer elastisch en breken minder snel. De hond of kat belast de poot (bijna) niet en de poot wijst vaak naar binnen toe.
Het is van belang dat het dier met heupluxatie snel bij een dierenarts komt voor diagnose en behandeling. De spieren rondom het heupgewricht verkorten, zodat het lastiger wordt om de heup weer in de kom te krijgen na een langere tijd. De hond of kat zal volledig onder narcose moeten voor de behandeling. De heup wordt terug geplaatst.
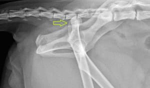
De foto hieronder laat een heupluxatie van een kat zien na een auto ongeluk.

Als de heup is terug geplaatst, wordt vaak een verband aangelegd om de heup in de kom te houden. De zogenaamde Ehmer verband. Dit verband moet zeker 10 dagen geplaatst worden. Nadeel is soms het afknellen van de huid met infecties tot gevolg. Ook schiet de heup er soms weer gemakkelijk uit. Daarom plaatsen we ook wel eens een bandje in de heup om de heup in het gewricht te houden. Dit is een operatie. Hierna kan de hond of kat gewoon de poot weer gebruiken.
De foto hieronder laat zien dat de heup succesvol terug is geplaatst in de kom.

Hieronder is op een plastic model uitgebeeld hoe een bandje is aangelegd om de heup in de kom te houden.
