Maak een afspraak voor uw hond
TTA rapid-kruisband
Uw hond heeft plotseling of al voor langere tijd pijn aan zijn knie of achterpoot. Kan er bijna niet meer op staan. Of loopt misschien op 3 pootjes. Er is duidelijk iets mis met het achterbeen.
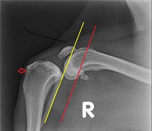
De meest voorkomende kreupelheid aan het achterbeen van de hond wordt veroorzaakt door een gescheurde voorste kruisband. Dit is een bandje midden in het kniegewricht. De kruisband kan plotseling afscheuren. Dit kan gebeuren door een plotselinge wending van de hond. Soms gebeurt het bij het springen. Het acuut scheuren van de kruisband gaat gepaard met gillen van de hond waarna de hond de poot omhoog tilt. Langzamerhand gaan ze er weer wat meer op staan, maar door de instabiliteit van het kniegewricht gaat het gewrichtskapsel ontsteken en ontstaat er artrose. Het onderbeen kan ten opzichte van het bovenbeen naar voren bewegen. Eigenlijk kun je spreken van een knie uit de kom of een verstuikte knie.
Het is belangrijk dat de knie snel gestabiliseerd wordt door middel van een operatie, zodat artrose vorming wordt voorkomen.
Hieronder links een foto van een gezonde knie en rechts een knie met gescheurde voorste kruisband. Hierbij valt op dat het onderbeen naar voren is geschoven bij de zieke knie.

De beste techniek tot nu toe voor een gescheurde voorste kruidband is de TTA Rapid. Vooral voor honden zwaarder dan 10 kg. Onder de 10 kg kan soms ook de Imbricatie in combinatie met Flo techniek toegepast worden. Kijk voor deze techniek onder kopje Kruisbandproblemen. Een kleinere operatie met vaak een goed resultaat. Toch is de beste operatie voor honden onder de 10 kg ook een TTA Rapid. Het blijft altijd een advies op maat. Belangrijk is hoe het karakter van de hond is en de lichamelijke conditie.
TTA oftewel Tibial Tuberosity Advancement. De voorkant van het scheenbeen of tibia wordt hierbij ingezaagd en naar voren gebracht. Daardoor gaat ook de aanhechting van de kniepees naar voren. Om deze verplaatsing te behouden wordt een TTA Rapid kooi geplaatst. Hierdoor veranderen de krachten die werken op het kniegewricht. Het onderbeen zal niet meer naar voren willen gaan, zodat de functie van een kruisband niet meer nodig is. Het goed bezenuwde en pijnlijke gewrichtskapsel staat niet meer op spanning. De knie komt als het ware in rust als de hond er op staat. Met als gevolg dat de knie rust krijgt om te herstellen. Ook komen er geen grote krachten meer op de meniscus in de knie. Eigenlijk maakt de chirurg van de hondenknie een mensenknie. Hiervoor moet er wel in het bot gezaagd en een implantaat met schroeven geplaatst worden. Dit maakt dat deze operatie duurder is dan een Flo techniek. Maar toch is de TTA Rapid goedkoper dan een oudere TTA of TPLO techniek. Hieronder een foto van een TTA Rapid kooi geplaatst in een nepknie.

De hypermoderne TTA Rapid kooi wordt gemaakt door een 3D printer met Titanium poeder. Hierdoor ontstaat een open en sterke structuur waardoor nieuw bot gemakkelijk kan ingroeien en voor verdere stevigheid zorgt.

- Kleiner implantaat, open kooiconstructie, vast met 4-6 schroeven
- Alleen een kooi, geen extra plaat nodig
- Minimale zaagsnede
- Scheenbeen wordt niet volledig doorgezaagd
- Kleinere operatie, dus minder kans op complicaties
- Sneller kunnen belasten en lopen op het geopereerde been
- Niet onbelangrijk: door kleinere operatie minder pijn na operatie


De operatie wordt van tevoren ingepland en uitgevoerd door een voor TTA Rapid gecertificeerde chirurg en zijn ondersteunend team van assistentes.
- Afspraak maken voor controle van patient en knie of het daadwerkelijk een voorste kruisbandruptuur is en of er geen andere problemen aanwezig zijn.
- Sedatie en rontgenfoto knie of beoordelen rontgenfoto’s van eigen dierenarts
- Beslissing of de hond geschikt is voor een TTA Rapid.
- Operatie inplannen voor dagopname
- Operatie: controle meniscus, kapotte kruisband verwijderen, TTA Rapid kooi plaatsen, alle hechtingen plaatsen, laatste hechting van de huid ligt onder het vel.
Pijnstilling en antibioticum.
4 dagen een steunverband
Kraag 7-10 dagen om
1e week alleen buiten plassen en poepen
8 weken minimale beweging en uitlaten aan de riem.
Evt benchrust indien de hond te gek is op postbodes en bezoek.
Na 2 maanden een controle rontgen foto.
6 maanden voorzichtig zijn met springen en spelen.