Maak een afspraak voor uw hond
Patellafractuur
Patellafractuur of een gebroken knieschijf wordt bijna altijd veroorzaakt door een trauma, bijvoorbeeld een auto-ongeluk.

De hond zal de poot achter zich aanslepen. Hij kan de poot niet meer strekken en de knie zal fors gezwollen zijn.
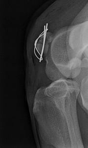
De knieschijf is een onderdeel van het totale kniegewricht en zal bij een fractuur erge artrose veroorzaken. Hieronder kunt u zien dat de knieschijf hersteld is dmv twee pinnen en een draad er omheen. De knie kan weer normaal functioneren en het been weer gestrekt worden. De patient wordt gedurende 6 weken aan de lijn uitgelaten, krijgt pijnstilling en een gewrichtsondersteundend middel mee.
